Calallen Dental

Blog

Dental hygiene tips for healthy teeth & gums

The Role of Digital X-Rays In Modern Dental Diagnosis

When you sit in that dental chair and hear, “We’ll just take some quick X-rays,” you probably don’t think twice. But what’s behind that little click and flash has changed a lot over the years.

Digital X-rays are now the norm—and for good reason.

They’re faster. They’re safer. This means dentists can notice problems when they are still small. If you’ve ever visited a Calallen Dentist TX, chances are you’ve already experienced this tech without realizing it.

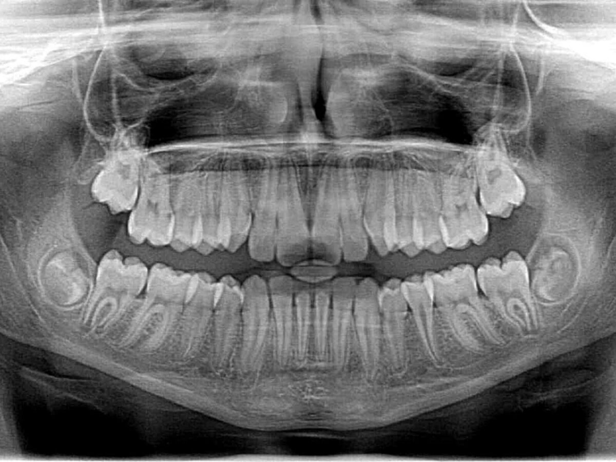
What Are Digital X-Rays, Anyway?

Let’s keep it simple.

Dentists now use digital scans instead of old-fashioned film X-rays.
So instead of waiting for an image to develop, your dentist sees it instantly on a screen. And that image? It’s clearer. It’s easier to adjust. And it helps your dentist catch things early, really early.

That’s the power of modern dental X-ray technology.

Why Digital Is a Game Changer

Old-school X-rays weren’t bad. But they had their limits.
The Film could blur. Sometimes, the image can be either bright or dark. It took time to develop. And you had to physically store the prints.

Digital solves all of that. The images are sharp. The results are fast. And they take up no physical space. Your Calallen Dental Office TX can even email them to a specialist if needed.

Lower Radiation, Bigger Peace of Mind

One of the biggest perks patients appreciate is the much lower radiation exposure. X-ray imaging using film is much less safe than the digital option. That’s a significant difference.

Dental X-rays are safe because their radiation exposure is low. But this newer technology raises safety even higher. So, when your Calallen Dentist TX tells you it’s time for an X-ray, you can feel confident and comfortable agreeing to it.

How Digital Dental Imaging Helps Diagnosis

Now we’re getting into the real value.

Digital X-rays do more than just show teeth. They help reveal what’s going on below the surface.

We’re talking about:

  • Cavities hiding between teeth
  • Infections at the root
  • Bone loss
  • Impacted wisdom teeth
  • Early signs of gum disease

Things you can’t see with the naked eye.

Thanks to digital dental imaging, your dentist can zoom in, adjust contrast, and rotate angles. That makes it easier to catch problems early, when they’re small and easier (and cheaper) to fix.

It Speeds Up the Whole Process

With digital X-rays, there’s no waiting around for film to develop or trips to a darkroom. Everything happens quickly and right in the office.

Your Calallen Dental Office TX can take the X-ray, see the image immediately on a screen, and begin planning your treatment within minutes. It results in fewer trips to the dentist, faster treatment, and an easier journey for everyone.

For those juggling busy schedules, this convenience makes a real difference, saving time while still getting the care you need.

Better Records, Better Tracking

With digital X-rays, it’s easy to store and control the files. Thanks to this, your dentist has detailed information about your oral health all the time. Going through earlier pictures, scientists may observe even slight variations.

Noticing these changes and reporting them to your dentist can keep your teeth healthy long term. Early signs of bone loss, gum pocketing, or cracked teeth will be caught by your dentist. Dealing with oral issues early means treatment is simpler and your smiling teeth are better preserved.

And Yes, It’s More Eco-Friendly

Traditional film X-rays need special chemicals to develop the images. They also require physical film and other materials, which adds to more overall waste. Unlike other X-ray methods, Digital X-rays are much more straightforward. No chemicals, no darkrooms, and much less material used.

This makes digital X-rays a much greener option—good for your health and better for the environment. It’s a simple change that quietly makes a difference. So, when your Calallen Dentist TX suggests X-rays, you can feel good knowing you’re choosing a more eco-friendly way to take care of your smile.

Are Digital X-Rays Safe for Everyone?

For the most part, yes—they are safe for nearly everyone. This includes children, pregnant women, and people who have other health issues. Dentists are careful to protect you and your family during the process. They’ll look closely at your unique health needs before deciding if an X-ray is the right choice.

Digital X-rays use very low levels of radiation, much less than traditional X-rays. Because the process is quick and efficient, exposure time is kept to a minimum. This makes digital X-rays one of the safest tools available in modern dental care. They help your dentist catch problems early without putting your health at risk.
If you require an X-ray, you can trust that digital technology provides a secure method to help your dentist gather the necessary information.

What Patients Are Saying

Most people don’t realize how much things have changed—until they notice how fast and easy everything feels.

No awkward biting on sharp film edges. No long waits. No guesswork. Just clear answers. Right away. Ask any patient who’s been coming to the same Calallen Dental Office TX for years, and they’ll probably tell you the difference is night and day.

Final Thoughts: A Clearer Picture Means Better Care

Digital X-rays might not seem like a big deal at first glance. But they play a huge role in how your dentist sees, plans, and protects your smile.

Thanks to advanced dental x-ray technology, your Calallen Dentist TX can diagnose issues faster, treat problems earlier, and give you a better overall experience.

That’s not just good for your teeth—it’s good for your peace of mind.

So next time you’re in the chair and the assistant pulls out that small digital sensor, you’ll know exactly what it means.

Better care. Smarter tools. Healthier smiles.